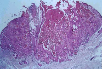
The above specimen is taken from a middle-aged man. What are the features? Answer A raised lesion with acanthosis and central core of keratin. The base of the lesion is well-demarcated without evidence of deep invasion. Is excision necessary for this condition? a Answer While this lesion may resolve spontaneously, it can leave an unsightly scar. Excision is the treatment of choice. In addition, keratoacanthoma may sometimes be indistinguishable from squamous cell carcinoma and total excision (including the base) allow a more thorough histological examination.