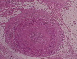
What does the above specimen show? Answer A cross-section of the artery which shows occlusion of the lumen and thickening of the intima and media. This is seen in giant cell arteritis. How does this condition normally affect the eye? a Answer Anterior ischaemic optic neuropathy by produing granulomatous mural inflammation of the posterior ciliary artery.