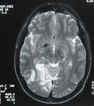
This patient presented with visual field loss and a brain scan is as shown above. a. What is this scan? b. What is the diagnosis? c. What is the visual field defect?
a. What is this scan?
b. What is the diagnosis?
c. What is the visual field defect?
Answer aT-2 weighted MRI scan. Answer bRight occipital lobe infarction. Answer cLeft homonymous hemianopia.