Question 2
A 45-year-old man presented with a red lesion in his right eye of 6-month duration which got progressively larger. He was treated by his GP for conjunctivitis but without improvement. The lesion was painless.  A conjunctival biopsy was performed under local anaesthesia. 
 

Appearance of the right eye.


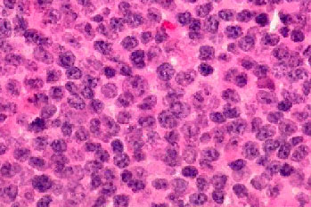
Histology of the conjunctival biopsy.


1. What is the most likely diagnosis?
 


2. What is the most common origin for the cells seen in the histology?

3. Name four investigations you would order for this patient.


4. What is the risk of systemic involvement compared with similar lesion 
    affecting the eyelid or orbit (lower, similar or higher risk)?

5. Suggest two treatment options?
Return to main page